The English encyclopedia Allmultimedia.org will be launched in two phases.
The final launch of the Allmultimedia.org will take place on February 24, 2026
(shortly after the 2026 Winter Olympics).
The final launch of the Allmultimedia.org will take place on February 24, 2026
(shortly after the 2026 Winter Olympics).
Dermatopatologie
Z Multimediaexpo.cz
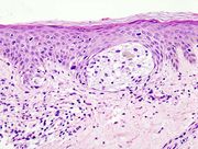
Dermatopatologie je obor patologické anatomie zabývající se studiem patologických změn probíhajících v lidské kůži. Základem je vyšetření mikroskopické bioptických vzorků kůže pomocí běžných histologických technik, dermatopatologie se však snaží nalézat vztahy mezi funkčními změnami v kůži a jejich morfologickým obrazem.
Související články
Externí odkazy
| Náklady na energie a provoz naší encyklopedie prudce vzrostly. Potřebujeme vaši podporu... Kolik ?? To je na Vás. Náš FIO účet — 2500575897 / 2010 |
|---|
| Informace o článku.
Článek je převzat z Wikipedie, otevřené encyklopedie, do které přispívají dobrovolníci z celého světa. |
